Новости ИСП Весь Елец

В этой рубрике

Кардиохирурги областной клинической больницы успешно прооперировали 38-летнего участника СВО

Эндоскописты областной детской больницы извлекли батарейку из пищевода двухлетней девочки

Правительство утвердило норматив ожидания скорой помощи в РФ

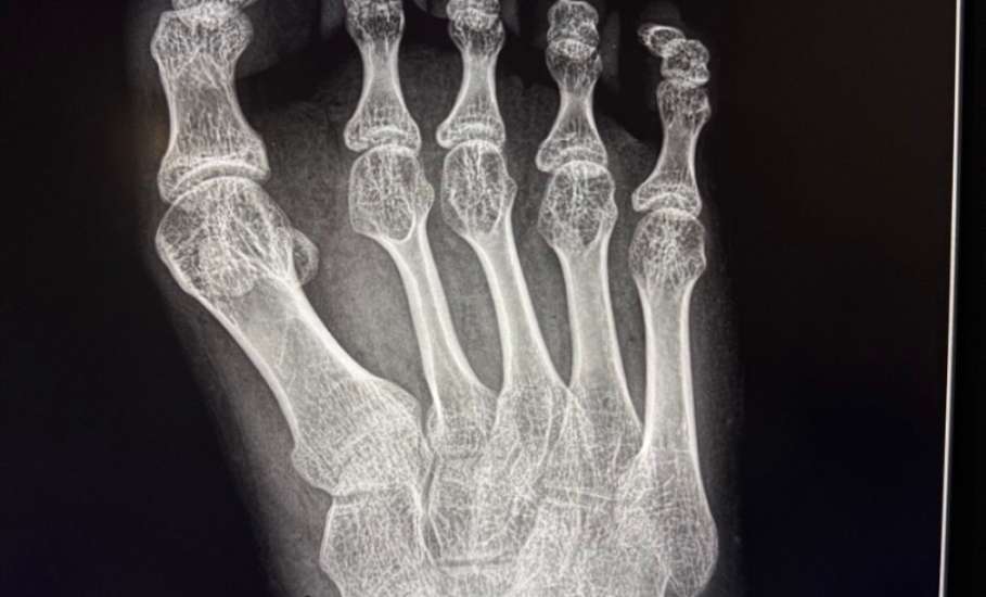
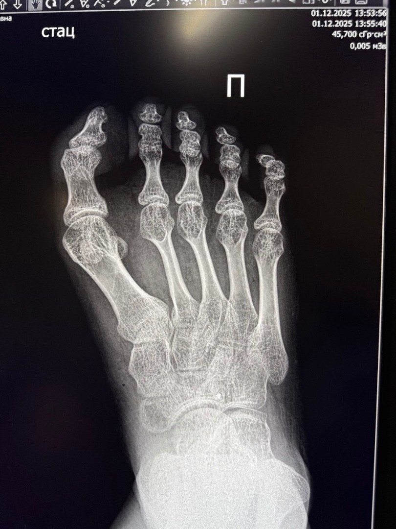
В Елецкой детской больнице проведена сложная операция 17-летней пациентке с детским церебральным параличом

  • В Елецкой детской больнице проведена сложная операция 17-летней пациентке с детским церебральным параличом

У девушки была приобретенная деформация первого пальца правой стопы 3 степени, вызывавшая боль и затруднения при ходьбе. 

Заведующий травматологическим отделением Махач Алиев выполнил реконструктивное вмешательство по методикам Шеде-Брандеса и Арина. Реабилитация проходит успешно.

Поделиться:

Комментарии

Вы должны авторизоваться!

Пожалуйста на сайте, если Вы уже зарегистрированы, или с помощью формы.

Елец
Направление ветра3,3 м/с. в
Погода на сегодня в Ельце -14° -12°
Частичная облачность

КУРС ЦБ 76,03 88,78


Самое посещаемое

Пенсионер выписался из больницы и обнаружил банковский счет пустым!

Страшная авария! В лобовом столкновении погибли люди на трассе в Становлянском районе!

Губернатор ЛО Игорь Артамонов встретился с жителями многоэтажки в Ельце, которая пострадала от украинских БПЛА 12 января

ВКонтакте

Одноклассники